Website Preloader


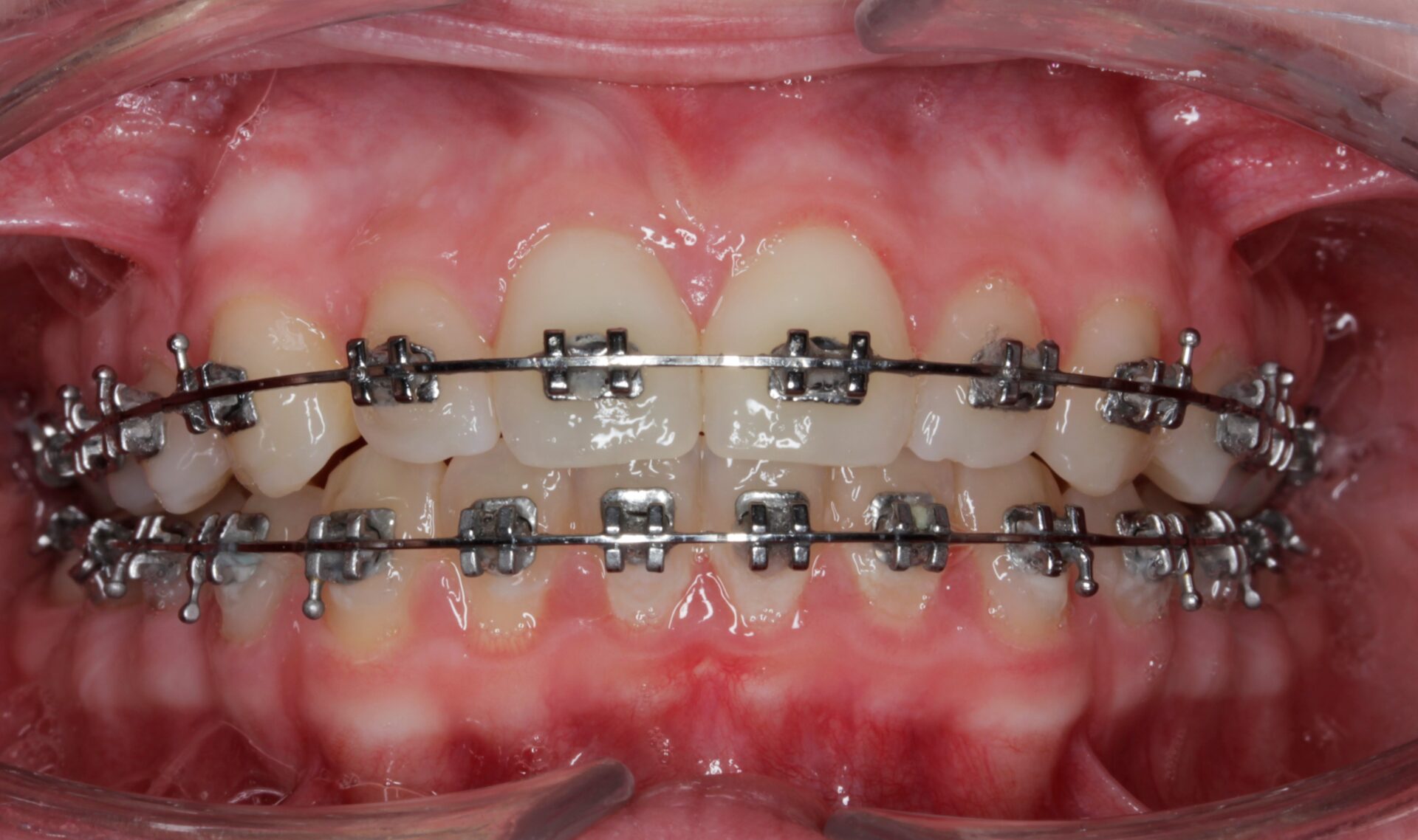
APARATOLOGÍA FIJA: BRACKETS METÁLICOS Y DISYUNTOR.

Paciente de 12 años que acude a la consulta con el fin de mejorar su sonrisa y la oclusión. Presenta Clase II molar y canina, resalte aumentado, sobremordida 2/3, compresión maxilar, mordida cruzada posterior derecha, línea media inferior desviada derecha y superior izquierda, plano oclusal inclinado, curva spee inferior aumentada.

Tratamiento

Disyuntor hyrax para expansión maxilar y aparatología fija para alinear y nivelar arcadas.

Tipo de ortodoncia

Brackets metálicos.