Website Preloader


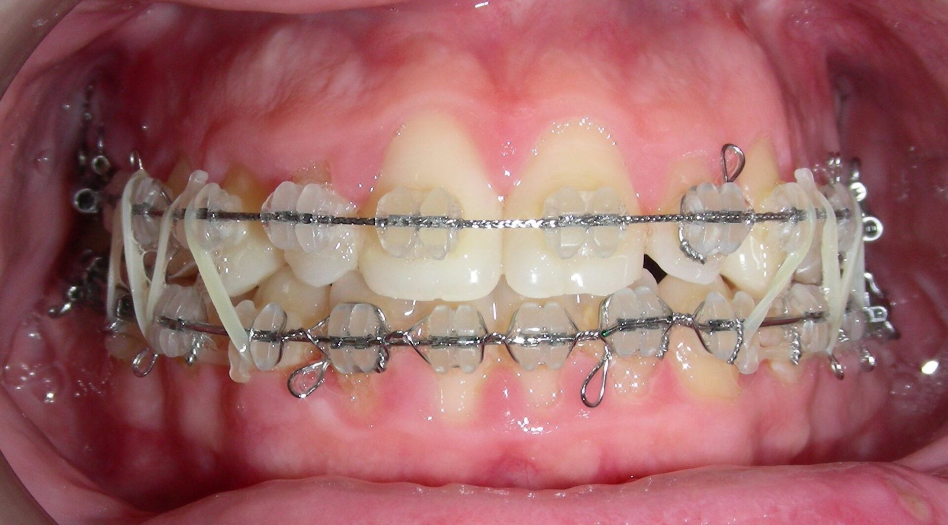
BRACKETS ESTETICOS. CLASE III. MORDIDA CRUZADA POSTERIOR. APIÑAMIENTO.

Paciente de 21 años que acude a la consulta con el fin de mejorar su sonrisa. Presenta Clase III derecha, apiñamiento, compresión maxilar y mordida cruzada posterior.

Tratamiento

Aparatología fija estética (brackets cerámicos) para alinear y nivelar arcadas, corregir la mordida cruzada y aliviar el apiñamiento.

Tipo de ortodoncia

Brackets cerámicos.

Duración

30 MESES