Website Preloader


CIRUGÍA ORTOGNÁTICA.

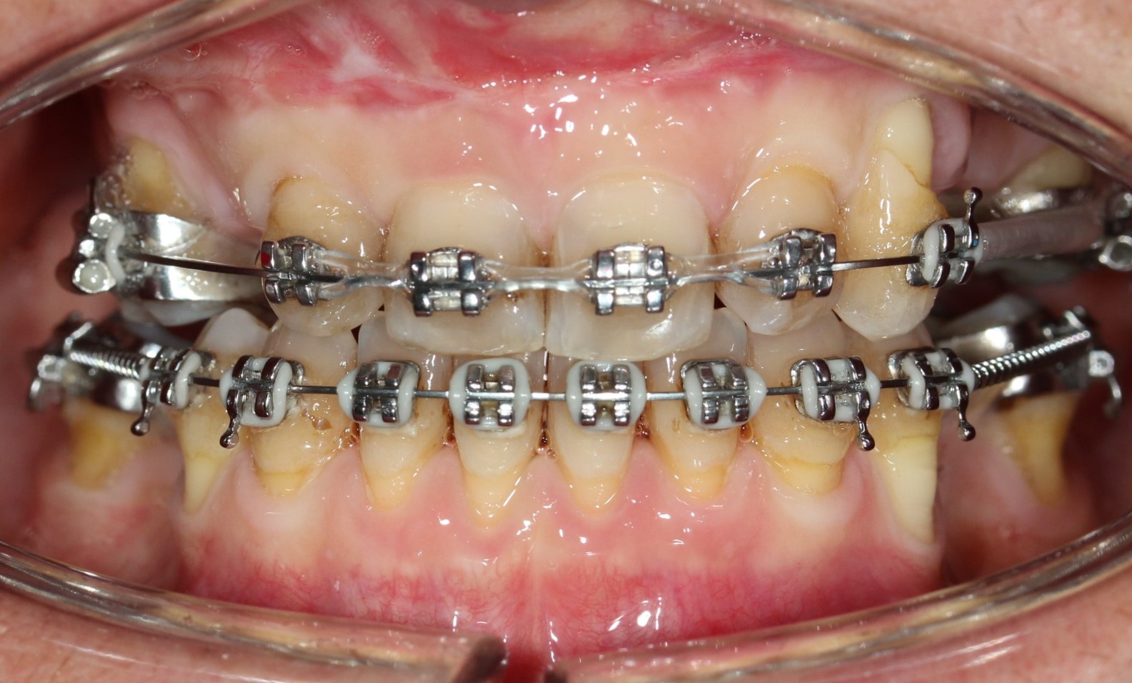
Paciente de 48 años que acude a la consulta con el fin de mejorar su sonrisa.

Presenta Clase III esquelética, compresión maxilar, asimetría de mentón, mordida cruzada, retroinclinación de incisivos inferiores y ausencia de varias piezas.

Tratamiento

Cirugía ortognática.