Website Preloader


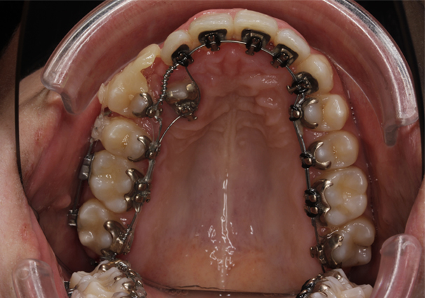
Ortodoncia lingual con canino impactado.

Paciente de 28 años que acude a la consulta con el fin de mejorar su sonrisa. Presenta Clase II molar y canina, sobremordida 2/3, compresión maxilar, mordida cruzada posterior derecha, canino superior derecho impactado.

Tipo de ortodoncia

Ortodoncia lingual
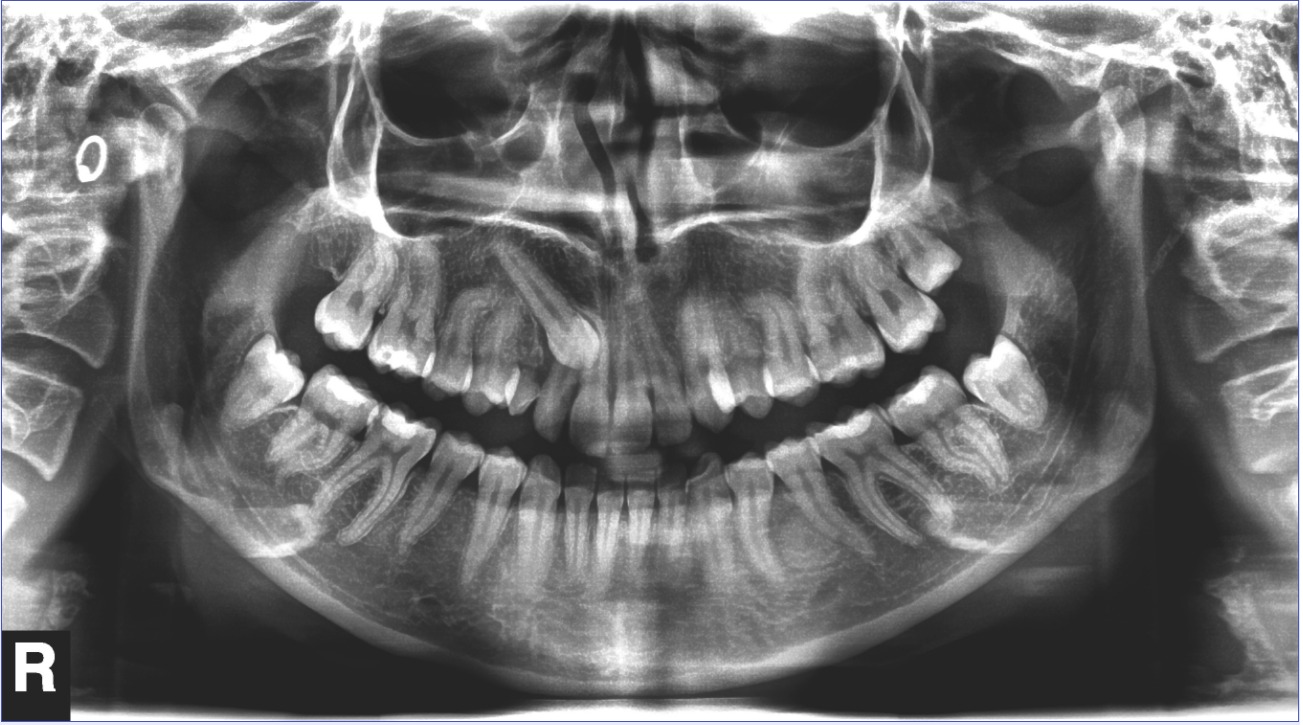
panorámica inicial