Website Preloader


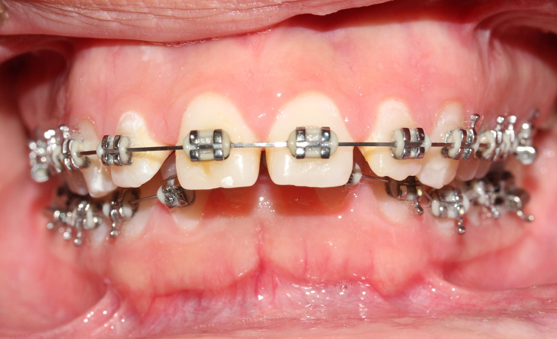
Cirugía ortognática y ortodoncia.

Paciente de 18 años que acude a la consulta con el fin de mejorar su sonrisa. Presenta Clase II esquelética, compresión maxilar, protusión y proinclinación de incisivos superiores, línea media inferior desviada a la derecha.

Tratamiento

Ortodoncia convencional y cirugía ortognática para alinear dientes y maxilares.

Tipo de ortodoncia

Brackets metálicos.

Duración

3 años.