Website Preloader


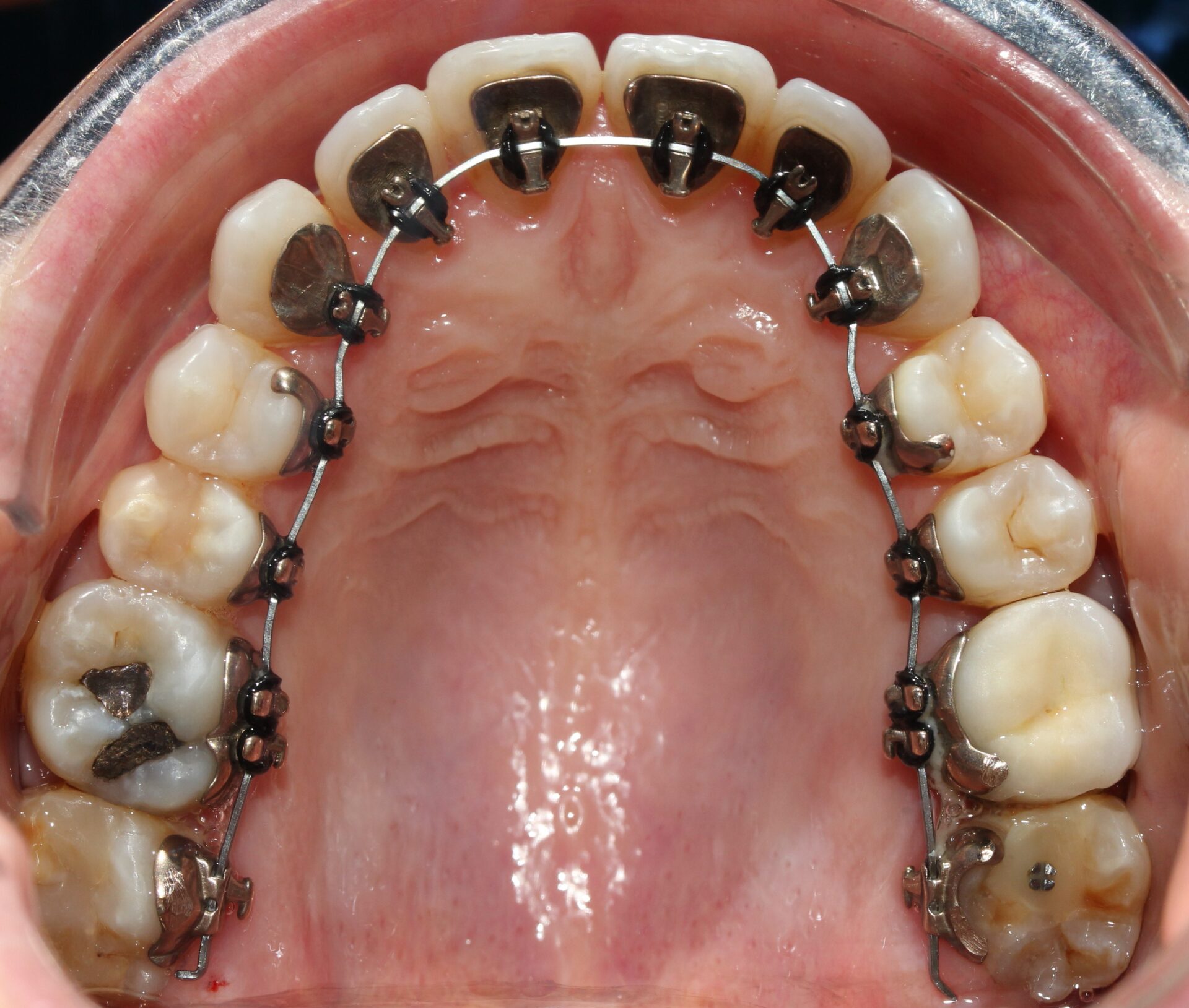
ORTODONCIA LINGUAL CON MICROTORNILLOS.

Paciente de 37 años que acude a la consulta con el fin de mejorar su sonrisa.

Presenta Clase III, mordida borde a borde y proinclinación de incisivos inferiores.

Tratamiento

Ortodoncia lingual y microtornillos para alinear y nivelar arcadas.

Tipo de ortodoncia

Ortodoncia lingual.

Duración

18 meses