Website Preloader


APARATOLOGÍA FIJA. BRACKETS METÁLICOS Y MICROTORNILLOS.

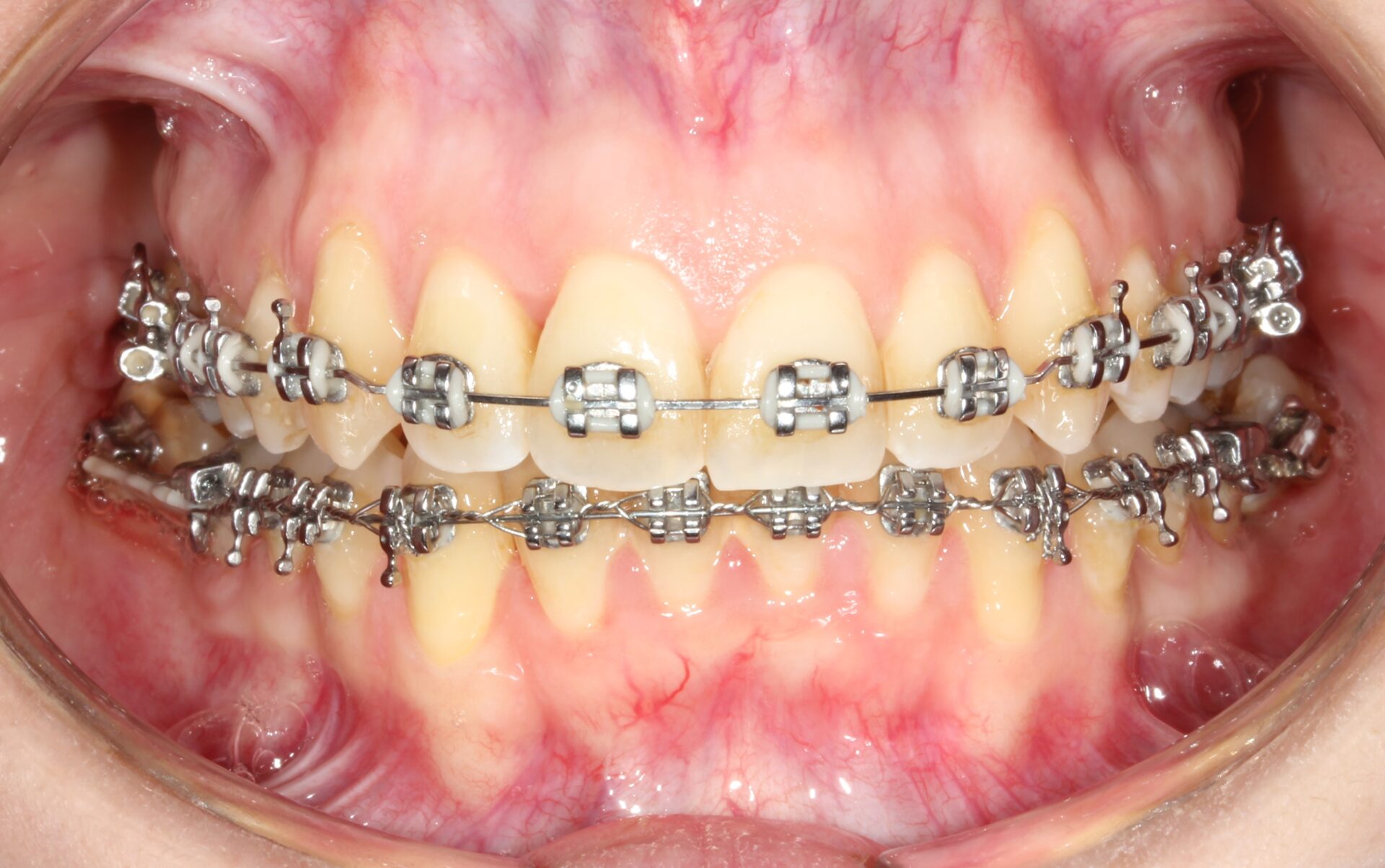
Paciente de 32 años que acude a la consulta con el fin de mejorar su sonrisa y la oclusión. Presenta Clase II, compresión maxilar, línea media desviada, mordida cruzada en dos piezas y segundos molares inferiores impactados.

Tratamiento

Aparatología fija convencional para alinear y nivelar arcadas. Fue necesaria la extracción de terceros molares para enderezar los segundos molares inferiores con ayuda de microtornillos.

Tipo de ortodoncia

Ortodoncia lingual.