Website Preloader


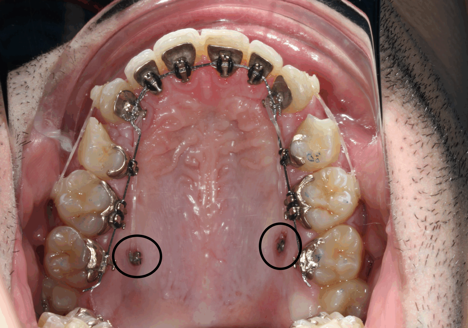
ORTODONCIA LINGUAL CON MICROTORNILLOS.

Paciente de 23 años que acude a la consulta con el fin de mejorar su sonrisa.

Presenta Clase II, línea media superior desviada, proinclinación de incisivos y resalte aumentado.

Tratamiento

Ortodoncia lingual y microtornillos para alinear y nivelar arcadas.

Tipo de ortodoncia

Ortodoncia lingual

Duración

2 años